Agriculture
SoilCharge supports sustainable agriculture with biological soil solutions, regenerative farming inputs, and expert guidance to boost soil health, increase crop productivity, and build long-term farm resilience
Free Delivery: Take advantage of our time to save event
Free shipping around Melbourne
for all orders
With our payment gateway, don’t worry
about your information
We offer complete customer support to help you
whenever you need us.
Soilcharge is a supplier of biological stimulants to farmers and growers. By utilising regenerative farming practices, work to collaborate with a variety of growers and farmers to promote healthy, fertile soil, to aiming produce premium quality crops and pastures.
Our biological fertiliser balance soil, restore fertility and increase friability by stimulating soil biology to sustain quality plant growth. Regardless your soil type, condition or location, biology in the soil works on the same principles. The limiting factor is atmospheric temperature.
Soilcharge products will improve your growth potential. We can help you to maximise your profitability while enhancing your sustainability.
BESRA is a mined rock infused with a biological liquid and cured to enhance its mineral content, releasing nutrients within a short period (4-6 weeks) after application to any soil. The recommended application rate is 200kg/ha, followed by an application of N-Fix Liquid at 3 litres/ha approximately 3 weeks after the granular application.
The resulting mineral release includes Calcium (31%), Phosphorus (14%), and Silicon (1023%), along with a range of trace elements such as Copper, Zinc, Boron, Manganese, Molybdenum, and Cobalt. This mineral infusion activates soil biology, especially when combined with N-Fix Liquid, enhancing overall soil biological activity.
Leaf tissue analysis demonstrates an increase in nutrient content, particularly carbon, which exhibits a significant rise. This heightened carbon level serves as a crucial building block in developing resilient soil, fostering robust biological soil flora and enhancing water holding capacity.
Crystal Creek Farm result of application of BESRA – Silage Paddock
RESTORE SOIL FERTILITY
BALANCE YOUR SOIL
ELIMINATE USE OF FUNGICIDES AND INSECTICIDES
REDUCE PRODUCTION COSTS
IMPROVE CROP YIELD & CROP QUALITY
IMPROVE SOIL MICROBIAL ACTIVITY
“ We have been using Soilcharge products for around seven years now, especially Living Earth and Bio Stimulant. We have consistently experienced excellent results in water retention, root growth, and increased shelf life. The service and consultation provided by Graeme and Jag have been outstanding, and the free delivery every time is a fantastic bonus. ”
“ It can be difficult to find effective biological products and trustworthy advice, but Soilcharge provides both. We have been using Soilcharge products for several years and plan to continue doing so to ensure the production of premium-quality crop. ”
“ Two years ago, I began using Soilcharge products on a trial basis and have been very pleased with the results I am now seeing. The soil profile has opened up, and the nutrient balance has improved significantly. This year, I am expanding the program to include more paddocks under the Soilcharge system. ”
By admin / 13-09-2025
Regenerative agriculture focuses on restoring and enhancing ecosystems on farms by applying principles and practices designed to work with the land. It aims to protect and improve soil biodiversity, enhance climate resilience, conserve water resources, and increase carbon sequestration in the soil, all while making farming more productive and profitable without resorting to harsh chemical inputs.
By admin / 01-12-2025
Nitrogen (N) is one of the vital elements required for proper growth and development of plants. In the earth’s atmosphere, N is available in the form of nitrogen gas (N2) and mostly plants utilise N in the form nitrate (NO3-) and ammonium ion (NH4+) which are fixed through the biological process known as N2 fixation. As N is one of the elements most likely to be limiting to plant growth, this phenomenon provides an alternative to the implementations of chemical fertilisers as source of nutrients which have resulted in the ammonia volatilisation, leading to significant impact on global warming in the atmosphere which, further, diverts the focus of scientist to find out eco-friendly technology.
By admin / 27-01-2026
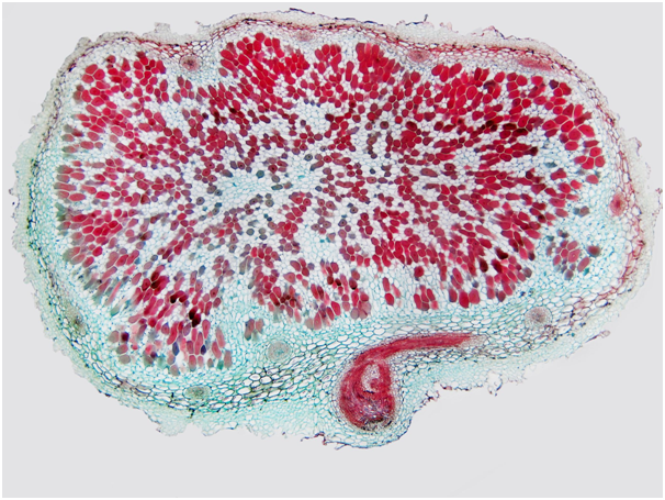
The picture shows a cross-section of a root nodule formed by the nitrogen-fixing bacteria Rhizobium in symbiosis with a plant from the legume family. Within the nodule, bacteria convert atmospheric nitrogen into a plant-available form. Several key minerals drive this vital process. Legume plants secrete flavonoids through their roots to attract rhizobia bacteria. In turn, the bacteria produce signalling molecules called nod factors that initiate the formation of nodules on the plant’s roots. The nodules house the bacteria and serve as an in-house nitrogen factory. The intracellular movement of calcium mediates the complex dialogue between the plant and bacteria.
By admin / 27-01-2026
With a biological system, fertility is returned to the soil, crops and farm animals. Restoring fertility is not a short term project, it takes time using the correct procedures, and you as the grower will gain knowledge and see tremendous benefits from your actions, including personal satisfaction, a healthier lifestyle and a better bank balance.
By admin / 27-01-2026
Firstly, contact us so we can come and take a soil sample. When you get your soil test results, you will also receive an Analysis of Sample plus an Action Plan. Our aim is to balance the soil chemical elements so that the transition to a biological system is much easier. The products recommended for this balancing are natural soil stimulants; some are registered organic products and all are soil building products. The first action you need to undertake is to balance out the calcium/magnesium soil ratio. The easiest option is to review the results in the soil report under “Percentage” in the “Adjusted CEC (Cation Exchange Capacity) column.
By admin / 27-01-2026
Building a soil biological system is the simplest and easiest way to eliminate the use of fungicides and insecticides. As discussed in Reducing Production Costs, it is about feeding the soil and the plant with biological products, and as a benefit, building natural sugars within a plant (Brix level) to produce as high as possible Brix level for that crop.
By admin / 27-01-2026
Following on from our discussion about Reducing Production Costs: To understand crop yield and crop quality I believe that first, we need to understand what a plant consists of:: A healthy plant is made up of 80% water and 20% dry material. 80% Water- is self-explanatory, but quality water is an issue we may all face in Australia. 20% Dry Material: break down of 47% carbon, 43% oxygen, 4% hydrogen, 3% nitrogen and 3% soil nutrients. Now the first four elements, carbon, oxygen, hydrogen and nitrogen all exist in the air.
By admin / 27-01-2026
When a biological system is in existence in your soil profile, the need to fertilise with biological products still exist, but your input costs are much lower due to the fact that the symbiotic relationship with the plant roots and the soil biology is working to build the soil food web. You may ask: How does this happen?